Dr.Mohammad Abbas Abdolsamadi
Iran, Tehran




About Dr. Abdolsamadi
Dr.Mohammad Abbas Abdolsamadi is An Experienced, skilled, and famous Dentist in Tehran, Iran.
Dr.Mohammad Abbas Abdolsamadi is An Experienced, skilled, and famous Dentist in Tehran, Iran.
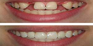
He received his Dentistry degree from Shahid Beheshti University of Medical Sciences, and as the top student of this reputable University, he decided to provide his medical services in deprived areas for 4 years. Then he began his professional career with completing his specialty training in smile designing in the USA.
.Smile designing
.Lumineers
.Non-prep laminates lumineers
.veneers
.Snap on smile
.porcelain

